
Key messages
- Dental radiographs are often called dental x-rays for short.
- X-rays help your dentist to see under the surface of your teeth and gums and plan for dental treatment.
- The type of x-ray your dentist takes depends on what they are looking for.
- The amount of radiation you are exposed to during a dental x-ray is much less than what you are exposed to from other everyday sources of radiation.
- Not all dental practices have the equipment to take types of x-rays. Sometimes you may be referred to an x-ray clinic that has the equipment needed.
Why do I need dental x-rays?
Dentists take x-rays to help them to see under the surface of the teeth and gums. This helps them to find any dental diseases that they cannot see by only looking inside your mouth.
The type of x-ray your dentist takes will depend on what they are looking for.
Dental x-rays can be used to find:
- tooth decay
- problems with past dental treatment
- bone that has been lost from around teeth due to severe gum disease
- tooth and bone fractures following an accident or injury that damages the face or mouth
- how close the teeth are to the nerves, sinuses, and other important parts of the face
- abscesses, cysts, and tumours
- the development of the teeth under the gums and when they may push into the mouth
- extra teeth, missing teeth, and teeth that are blocked from moving into the mouth.
X-rays help your dentist plan dental treatments, such as fillings, dental implants, orthodontic treatment, root canal treatment and removing a tooth.
Are x-rays safe?
Dental x-rays involve radiation. However, they use a very low level of radiation and are safe to have. The amount of radiation you are exposed to during a dental x-ray is much less than what you are exposed to from sources of radiation in your everyday life.
The amount of radiation exposure from dental x-rays is extremely low and unlikely to cause any ill health effects. Both children and adults can have dental x-rays safely taken.
Your dentist will leave the room when they take your x-rays. You may have dental x-rays months or years apart, but your dentist takes multiple x-rays every day. Your dentist is avoiding being exposed to radiation to often by stepping outside the treatment room.
If you have a sore tooth or problems, dental x-rays can be safely taken while you are pregnant to help your dentist find the problem. Your dentist may take extra steps by using a lead apron to cover your chest and belly.
It is important to tell your dentist if you are actively trying to conceive a baby and think you may be pregnant. Your dentist may delay your x-rays until you confirm this.
Talk to your dentist if you are concerned about having a dental x-ray if you think or know you are pregnant. They can answer any questions you have and help put your mind at ease.
Radiation exposure (measured in microsieverts) from dental x-rays compared to daily life events.
Download the above table as a factsheet.
Do I need to wear a lead apron for my x-ray?
The advice from the Australian Radiation Protection and Nuclear Safety Agency (ARPANSA) is that lead aprons are not usually (or routinely) needed when having a dental x-ray. This is because the x-ray doses are so low in modern dentistry.
Your dentist may use a lead apron to cover your chest and belly if you are pregnant.
Types of dental x-rays
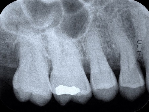
Bite wing x-rays are commonly used as part of dental check-ups. They are commonly used to look for tooth decay and to see how much bone is around the teeth.
Your dentist will let you know how often to have these x-rays taken. To make this recommendation, they will look at:
- how well you care for your teeth
- if you have current tooth decay or gum disease
- your risk of developing tooth decay and gum disease
- your past dental treatment.

An example of a bite wing x-ray. Getty Images.
A periapical x-ray is used to look at a whole tooth. This includes the root/s of the tooth and the bone around it.
Examples of when your dentist may ask to take a periapical x-ray include:
- if you have a sore tooth
- before removing a tooth
- before, during and after root canal treatment.
Your dentist will ask for your consent to take a periapical x-ray and should explain the reason it is needed.

An example of a periapical x-ray. Getty Images.
Your dentist may call this a ‘full-mouth x-ray’. This x-ray provides a good overall view of your mouth. It will include the temporomandibular (jaw) joints (TMJ), eye sockets, maxillary sinuses, the upper and lower jaw bones and all the teeth. Your dentist may ask to take more x-rays of certain areas of your mouth if they need to look closer at something that they can see on the full-mouth x-ray.
Full-mouth dental x-rays allow dentists to see:
- cysts, tumours, and infections
- severity of gum disease
- stages of tooth development in children
- teeth that are still under the gum, such as wisdom teeth
- how close the teeth are to nerves, sinuses, and other important parts of the face.
Full-mouth x-rays are not recommended as the main x-ray to be used for detecting tooth decay.

An example panoramic x-ray. Getty Images.
A lateral cephalometric x-ray is a side-on view of your head and neck. This x-ray, together with a full-mouth x-ray, are commonly used to plan for braces and other treatments to straighten teeth.

An example lateral cephalogmetic x-ray. Getty Images.
Cone-beam computerised tomography (CBCT) creates a three-dimensional (3-D) image of your teeth, jaws and parts of the face.
These x-rays are commonly used by dentists and dental specialists when planning complex treatments.
Not all dental practices will have the equipment to take all the above-listed x-rays. Sometimes you may be referred to an x-ray clinic that has the equipment to take the required x-ray.
What x-ray is right for me?
The x-ray that is right for you depends on:
- the reason the x-ray is being taken
- what your dentist may be looking for.
Ask your dentist any questions you have about dental x-rays. They can help you to understand the benefits and risks of dental x-rays and how they are used to care for your oral health.
How do dentists read x-rays?
Reading dental x-rays requires training and experience to do it properly. Your dental team are trained to read dental x-rays. They will:
- compare your new and old x-rays. This helps your dentist to see if there has been any change in the condition of the teeth or jawbone over time.
- check for anything that is not normally present. This could be anything from a tooth that is out of place to a cyst in the jawbone.
- compare the left and right sides of x-rays. Looking for differences between the two sides may make any problems easier to find.
Ask your dentist any questions you have about what you see on your x-ray. They will explain what is in the x-ray and if there is any reason for concern.
More information
If you would like more information on radiation safety, please visit www.arpansa.gov.au.
